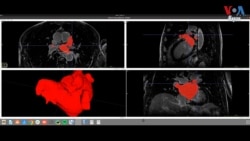
បញ្ញាសិប្បនិម្មិតពិនិត្យរកជំងឺបេះដូងនិងមហារីក
កម្មវិធីនីមួយៗ
-
២៤ សីហា ២០២៤រ៉ូបត់ប្រមូលផលផ្លែស្ត្របឺរីដែលទុំ
-
៣០ កក្កដា ២០២៤ឧបករណ៍អាចជួយមនុស្សមានបញ្ហាបំពង់សំឡេងនិយាយបានវិញ
-
១៦ កក្កដា ២០២៤ដុំឥដ្ឋដែលមិនអាចដុតឆេះមានគុណភាពជាងក្បួនសំណង់ទំនើប
-
១១ កក្កដា ២០២៤ដ្រូនក្រោមទឹកជួយដល់ការសិក្សាស្រាវជ្រាវអំពីថ្មប៉ប្រះទឹក
-
០៣ កក្កដា ២០២៤កាមេរ៉ាអាច«មើលឃើញ»វត្ថុដែលត្រូវបានបាំងដោយជញ្ជាំង